今天是:

阮征教授团队揭示异黄酮通过调节5-羟色胺和卡哈尔间质细胞来缓解结肠炎大鼠的肠道蠕动障碍

发布时间:2025-09-04


近日,南昌大学食品学院阮征教授团队在国际食品期刊《Food Bioscience》发表了题为“Isoflavones relieve intestinal motility disorders in colitis rats by regulating 5-hydroxytryptamine and interstitial cells of Cajal”的研究论文。2022级硕士研究生李佩为第一作者,阮征教授为通讯作者。该研究得到了国家自然科学基金(No. 32060539)和食品科学与资源挖掘全国重点实验室研究项目(No. SKLF-KF-202217)的资助。

研究背景

近年来,肠道健康日益受到关注,其中由炎症性肠病导致的肠道蠕动障碍严重影响患者生活质量。在肠道病的研究中,多酚类物质展现出调节肠道功能与改善胃肠道疾病的潜力。此前关于结构多样的多酚(异黄酮)如何通过精确调节5-羟色胺(5-HT)信号通路以及卡哈尔间质细胞(ICCs)来改善肠道蠕动障碍这一重要问题的相关研究还比较有限。

成果介绍

本研究选取了四种具有代表性结构和突出生物活性的异黄酮:葛根素、染料木黄酮、大豆苷元和刺芒柄花素,展开了一场深入的研究,并取得了重要发现:

  • 显著改善肠道动力紊乱:研究表明,这四种异黄酮如同肠道的“守护者”,均能显著改善结肠炎相关的肠道蠕动障碍。在溃疡性结肠炎大鼠模型中,它们成功降低了粪便含水量,有效缓解了腹泻症状,同时延长了胃肠道和结肠的转运时间,宛如为肠道内紊乱的推进按下了“慢放键”,使得肠道蠕动紊乱得到了切实的缓解,为肠道恢复正常的蠕动节奏奠定了基础。

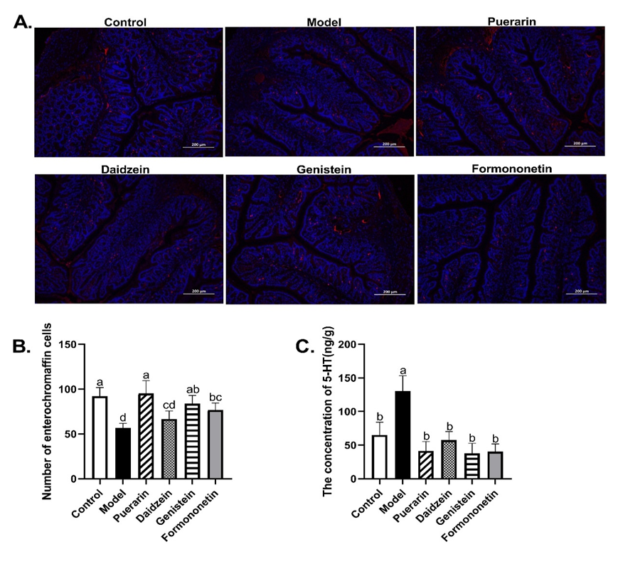
  • 精准调节5-HT水平:深入研究发现,异黄酮在调节5-HT这一关键神经递质的过程中展现出了精准的作用。它们能够显著降低结肠中5-HT的水平并且有效地增强肠道细胞中5-HT再摄取转运体(SERT)的表达,从而促进5-HT的高效再摄取和降解。但异黄酮并没有显著改变色氨酸羟化酶1TPH-1)的表达,这表明异黄酮是通过增强5-HT的再摄取和降解来降低其水平,而非通过抑制其合成。这一精准的调节机制,就像是为肠道蠕动的稳定运行找到了“调节阀”,有效地避免了因5-HT水平异常升高而引发的肠道异常蠕动和分泌增加等问题,为肠道蠕动的恢复提供了坚实的保障。

  • 强力促进ICCs功能:除大豆苷元外,其余三种异黄酮能够显著增强ICCsc-kit的表达,进而促进ICCs的增殖。这一过程对于肠道蠕动的改善具有至关重要的意义,如同为肠道蠕动的节律注入了活力,从而更好地发挥ICCs对肠道蠕动的调节作用。

  • 揭示结构与功能的紧密联系:研究团队还深入探索了异黄酮的分子结构与功能之间的微妙关系,通过综合改善指数和分子对接评分公式对四种异黄酮进行评估,发现异黄酮改善肠道蠕动障碍的效果差异与其分子结构以及与SERT5-HT2B受体的结合亲和力紧密相连,其中染料木黄酮的效果最好,而大豆苷元的效果最差。

总体而言,本研究初步证明了异黄酮在缓解IBD相关肠道蠕动障碍方面具有潜在益处,为开发针对结肠炎相关肠道蠕动障碍的干预措施提供了科学依据,有望为肠道疾病的治疗开辟新的途径和方法。

图文摘要

1.代表性异黄酮的结构图

2.异黄酮下调 5-HT 的浓度

3.异黄酮通过分子对接作用增强了SERT 5-羟色胺之间的稳定结合

原文链接

https://doi.org/10.1016/j.fbio.2024.105587